Durability and esthetics
no longer have to be a tradeoff.
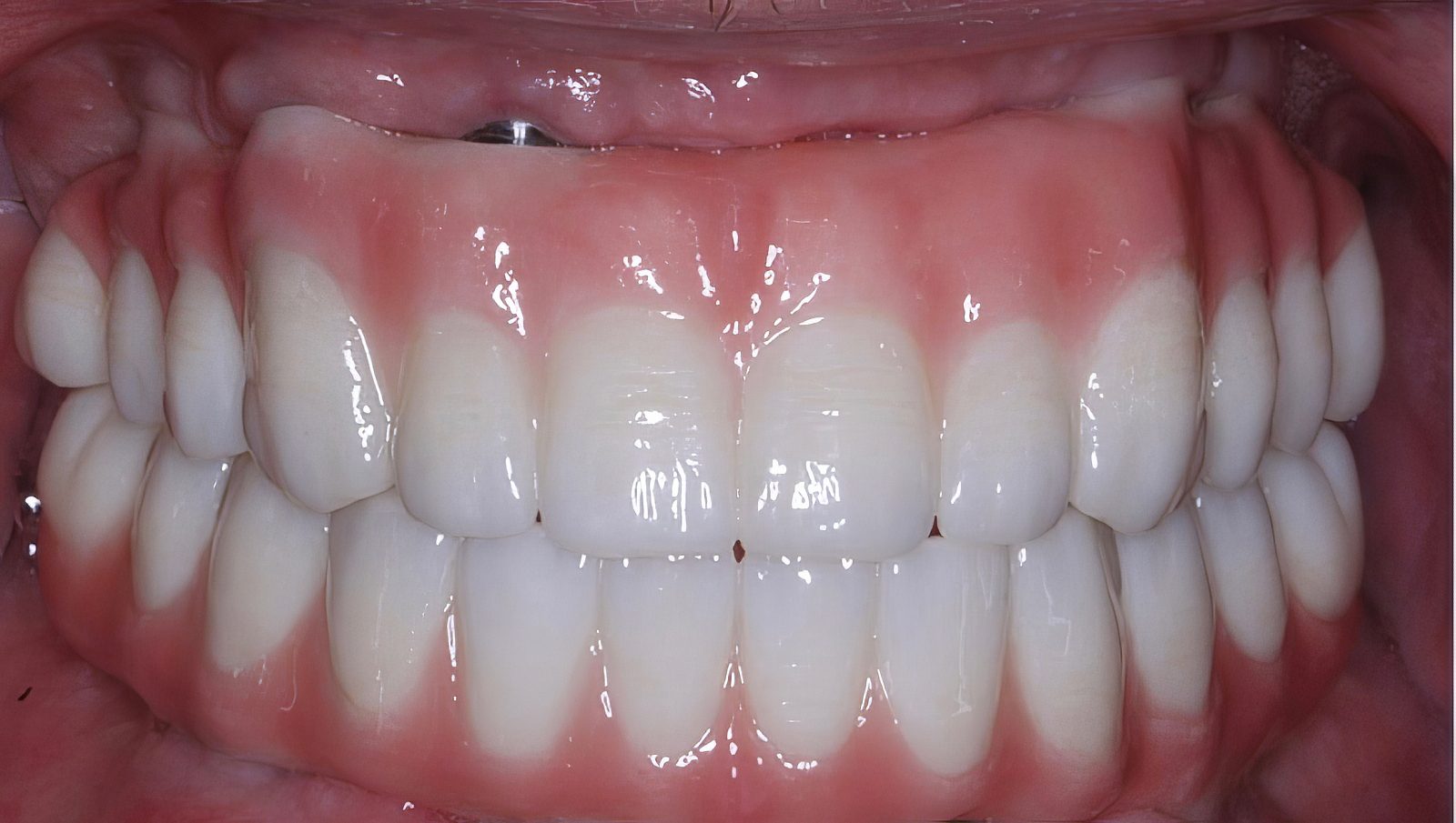
ZIRMAX M: Exceptional Implant-Supported Fixed Prosthesis
In modern implant dentistry, durability and esthetics no longer have to be a tradeoff. With the emergence of monolithic zirconia solutions, clinicians can now offer full-arch restorations that deliver optimal function, natural appearance, and long-term success. At the heart of this evolution is the ZIMRMAX M Zirconia Implant Fixed Prosthesis, available through Burbank Dental Lab.
Whether restoring a hybrid prosthesis, using an All On 4 protocol, or transitioning a patient from a removable appliance, ZIRMAX M provides the strength and polish of high-performance zirconia with the esthetic capabilities of layered ceramic.

REQUEST THE BURBANK DENTAL LAB FEE SCHEDULE
REQUEST FEE SCHEDULE
Here’s what your peers said.
What's your biggest challenge with full-arch implant restorations?
“ZIRMAX M isn’t just a lab product—
it’s a solution tailored for clinical success.”
What is ZIRMAX M Zirconia?

ZIRMAX M is a high-strength monolithic zirconia material engineered for full-arch, implant-supported restorations. It’s crafted to withstand heavy occlusal forces while maintaining a natural, lifelike translucency that meets patient expectations for esthetics.
Key Features
This material is optimized for implant frameworks, full-arch bridges, and screw-retained prostheses, combining form and function into one long-lasting restoration.
FREE TO DOWNLOAD – SUCCESS GUIDES
DOWNLOAD A GUIDE
Why choose ZIRMAX M for full-arch implant cases?

As implant dentistry shifts toward permanent, fixed solutions, practitioners need materials that minimize complications and maximize longevity. Acrylic hybrid prostheses, while esthetically acceptable, are prone to wear and fracture, particularly in high-load patients. ZIRMAX M solves this by providing:
“Precision-fitted and polished—
from digital design to clinical delivery.”
Clinical Benefits
ZIRMAX M is not just a lab product—it’s a solution tailored for clinical success.
Ideal clinical indications

ZIRMAX M is best suited for the following treatment scenarios:
“Ideal for bruxers.
Built for longevity.
Designed for real-world occlusion.”
Not recommended for
Digital Workflow with Burbank Dental Lab
Our dental lab has optimized the digital workflow for ZIRMAX M prostheses to ensure consistency, passive fit, and esthetic excellence. Whether you’re working with digital impressions or traditional models, Burbank Dental Lab can guide your case every step of the way.
“We don’t just fabricate restorations.
We collaborate on outcomes.”

Workflow Overview
Comparing ZIRMAX M to traditional options
Feature | ZIRMAX M Zirconia | Acryllic Hybrid Prosthesis | Porcelain Fused to Metal Bridge |
Stength | Exceptional flexural strength of up to 1300 MPa, making it highly resistant to chipping and cracking. | Lower strength; acrylic base is more prone to wear and fracture over time. | Moderate strength; metal substructure provides durability, but porcelain layering can chip under stress. |
Esthetics | High translucency mimics natural teeth; monolithic design with optional gingival layering for enhanced appearance. | Acceptable esthetics initially, but prone to staining and wear, affecting long-term appearance. | Good esthetics; however, metal substructure may cause a grayish hue at the gingival margin over time. |
Wear Resistance | Highly resistant to wear; maintains polish and surface integrity over time. | Prone to wear, acrylic teeth can abrade opposing dentition and require periodic replacement. | Moderate wear resistance; porcelain can wear opposing teeth and is susceptible to chipping. |
Longevity | Long-lasting with proper care; minimal maintenance required over time. | Shorter lifespan; requires more frequent repairs and replacements. | Durable; however, porcelain chipping and metal exposure can necessitate repairs. |
Maintenance | Low maintenance; smooth surface resists plaque accumulation and staining. | Higher maintenance; susceptible to staining and requires regular polishing. | Moderate maintenance; porcelain chipping may require repair, and metal margins can affect esthetics. |
Cost Effectiveness | Higher initial cost but offers long-term savings due to durability and low maintenance. | Lower upfront cost; however, frequent repairs and replacements can increase long-term expenses. | Moderate cost; potential for additional expenses due to porcelain chipping and esthetic concerns. |

Prosthesis design considerations
Proper case planning is critical for long-term success. Here are key design guidelines for ZIRMAX M full-arch restorations:
Our team collaborates directly with your dental practice to customize each restoration based on patient anatomy, bite dynamics, and esthetic goals.

Patient experience and satisfaction
Patients today are increasingly aware of their dental restorative options. The ability to offer a non-removable, natural-looking, and long-lasting solution often leads to greater case acceptance.
Patient advantages:
Patients report high satisfaction with the feel, function, and appearance of their ZIRMAX M or ZIRMAX ME prosthesis. Clinicians appreciate fewer emergencies and long-term reliability.
Maintenance and longevity

The monolithic design of ZIRMAX M eliminates chipping and delamination of denture teeth. Its polished surface reduces plaque buildup and enhances hygiene.
Maintenance guidelines:
With proper care, ZIRMAX M prostheses can last well beyond a decade, delivering value for both patients and providers.
Ready to deliver strength and esthetics in a single restoration?
Burbank Dental Lab has earned national recognition for producing world-class zirconia restorations. Our implant team specializes in full-arch, digitally driven dental restoration solutions that eliminate guesswork and elevate outcomes.
If you’re searching for a durable, esthetic, and patient-pleasing full-arch solution, ZIRMAX M is the modern answer. Call us at (800) 336-3053 or chat with us during regular business hours today to get started on your next case.






