
Color matching is probably one of the most difficult aesthetic challenges for dentists and dental labs when restoring a single central. When matching the shade of a restoration to an adjacent tooth, there are many factors to consider. Selecting the shade tab that looks closest is not the only step involved in the process.
The central incisors offer an especially difficult challenge. Matching other teeth in the maxillary anterior is based on evaluating the surrounding dentition as well as the adjacent tooth. Color, shape, texture, and translucency are more critically evaluated in a single central match due to these teeth being directly next to one another.
The ability to set the right patient expectations will go a long way toward the satisfaction of the patient. When restoring a central, it often takes more than one attempt to obtain esthetic results that are considered a successful match. It is essential to convey this understanding to the patient so that he or she fully understands the process. However, there are cases where the information and circumstances provide the opportunity to get it right the first time.
Burbank Dental Lab had the pleasure of working on another case with Matthew Christie, DDS of James Island Family, Cosmetic, and Implant Dentistry on the following Single Central case.
Case Study
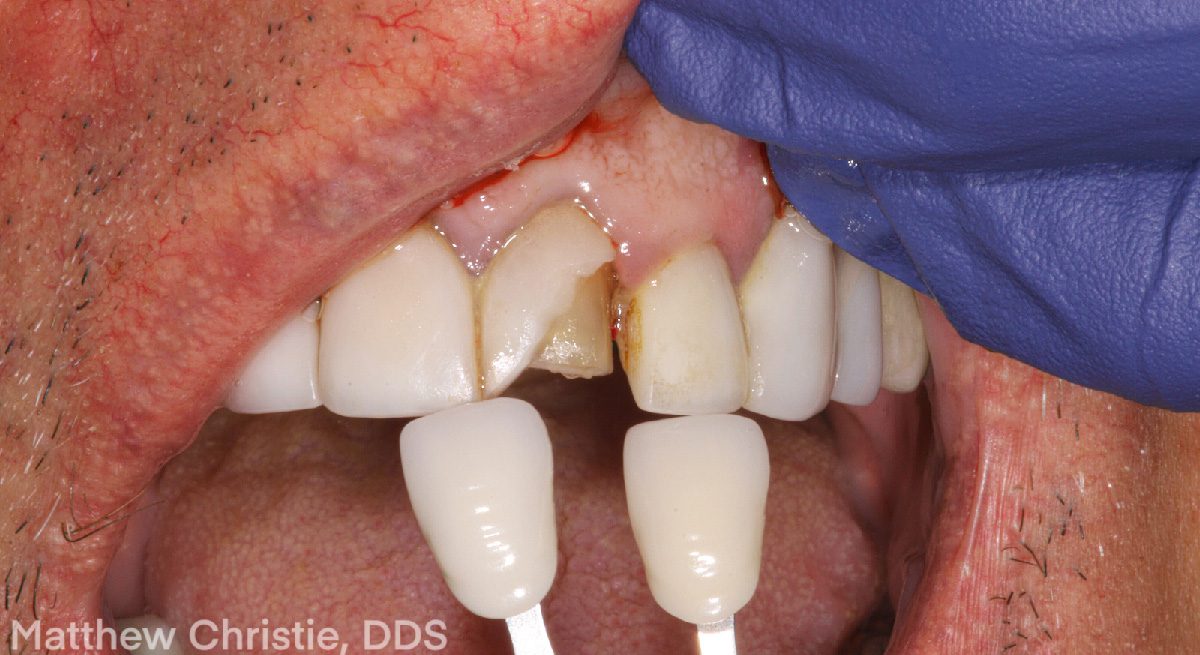
This patient presented to Dr. Christie with a fractured #9 veneer that had been placed about 15-20 years prior.

Often it is recommended to prepare both centrals in cases like these to ensure the proper color and contours are achieved. This method usually helps to reduce the need to send the case back for adjustments. It is often seen as a more cost-effective method by everyone involved.
Factors Involved in Effective Shade Matching
There are several factors that will contribute to the success of getting a tooth to match properly, and they include the following:
After consulting with the patient, Dr. Christie indicated that the patient only wished to replace the fractured #9 veneer and not both centrals. So the case was set to proceed with matching #9 to #8 and the surrounding dentition.
3 STEPS TO
PHOTOGRAMMETRY SCANNING

WE HELP YOU GET IT RIGHT
EVERY TIME
STEP 1
Burbank Dental Lab implant scan specialist provides the special scan bodies for insertion in the patient’s newly placed implant sites.
STEP 2
Scan Bodies are removed and special healing abutments are placed on the implant sites. Soft tissue can now be scanned with an intra-oral scanner.
STEP 3
The data from both scans are then sent to the dental lab. The ICam4d data and soft tissue scans are aligned to become a high-precision dental model.
Taking an Accurate Shade
There were several key aspects that helped Burbank Dental Lab fabricate the restoration and get a satisfactory result in this case. One of the important keys was the correct shade.
Taking a shade early in the appointment helps avoid the teeth becoming dehydrated. The following are other factors that helped to communicate an accurate shade:


In addition to providing the laboratory with this information, Dr. Christie was able to send the chipped portion of the veneer to the dental lab. Sending the chip gave the technician the ability to evaluate the color and provided another level of information.
Next, taking the shade of the underlying color after preparation is also extremely important to the success of the case. This helps not only decide the best material choice for the case but also provides a guide as to the degree of translucency/opacity that the restoration needs to be in order to achieve the perfect match. Dr. Christie took this shade and provided a picture for reference.
The shade of the prepared tooth in this case is an ND3.

With all the pertinent information, Burbank Dental Lab created a stump die in this color and then used it during fabrication as well as quality control to make sure the restoration offered the best results.
Material Choice
This case was an excellent option for a pressed E.max veneer. E.max restorations allowed for the case to be designed as a mirror image of tooth #8. This ensured that the restoration also had the proper contours and overall shape.
E.max also provides the following benefits:

FREE TO DOWNLOAD – SUCCESS GUIDES
DOWNLOAD A GUIDE
Case Fabrication
Dr. Christie then took a digital impression using a CAD-Ray 3Shape Trios scanner. The case was uploaded via the Burbank Dental Lab website portal.
The veneer was designed using all of the key information that was provided by Dr. Christie.

The case was pressed in a BL3 E.max ingot and layered to match the existing detention. The veneer was then tried on the ND3 stump die that was created and checked for color, margins, and contour.
Try-In
Before final cementation, Burbank Dental Lab always recommends trying-in a restoration. Ceramic restorations are not the only factor affecting the final result, as the underlying tooth color, cement, and thickness also play a role. It is therefore very useful to use a try-in paste that represents the final cement prior to the final insertion.
The try-in paste needs to represent the same color, opacity, and value. Using glycerin or water when trying in a restoration does not produce the same effects as resin cement.
Dr. Christie tried in the veneer and found it to be a successful match.
The patient was happy with the result. Thanks to the excellent communication from Dr. Christie and the skill of the ceramic team at Burbank Dental Lab, this case was completed in just one try.


The key to creating cases that result in favorable outcomes is understanding the difficulties associated with matching a single central. Managing the patient’s expectations is key to ensuring that they find the experience satisfactory despite these challenges. Providing the dental lab with the necessary information and effectively communicating this will result in better outcomes and fewer adjustments.
Contact Burbank Dental Lab to learn more about us and how we can help you create beautiful cases.
Thank you Dr. Matthew Christie
“At Burbank Dental Lab, I am very impressed with the attention to detail and easy communication. I use Burbank Dental Lab even though I’m on the East Coast because the results are always predictably great and I know my patients are receiving a high-quality restoration that I can be proud of.” — Dr. Matthew Christie, DDS.








