REQUEST FEE SCHEDULE
DOWNLOAD RX FORM
SCHEDULE A PICK-UP
What can we help you with today?
Popular Searches
What can we help you with today?
Popular Searches
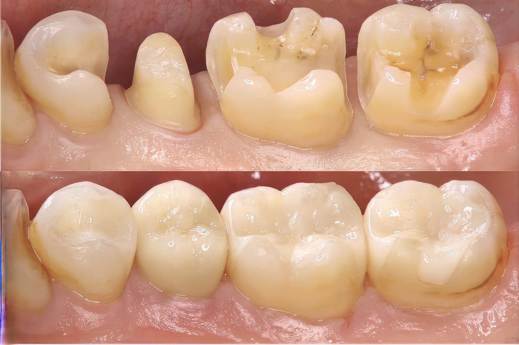
Composite restorations have become a cornerstone of modern restorative dentistry.
Composite restorations provide predictable results with superior esthetics and durability. As patient demand for metal-free, natural-looking restorations increases, composites offer a versatile solution that preserves tooth structure while delivering excellent functional outcomes.
At Burbank Dental Lab, we craft high-quality composite restorations tailored to meet the precise needs of dentists and their patients. Our advanced materials and precise fabrication techniques ensure restorations that seamlessly integrate with natural dentition, optimizing both strength and esthetics.



What Is A Composite Restoration?
Composite restorations are direct or indirect restorations made from a blend of resin and finely milled glass particles, offering excellent optical properties and strength. Their ability to bond directly to enamel and dentin reduces microleakage, reinforces tooth structure, and minimizes the removal of healthy tooth material. This adhesive nature makes composites ideal for minimally invasive restorations and more complex cosmetic applications.
At Burbank Dental Lab, we utilize high-performance composite materials engineered for strength, wear resistance, and esthetic accuracy. Our composite solutions provide reliable long-term performance for anterior or posterior restorations while maintaining a lifelike translucency and shade match to natural teeth.
Key Features of Composite Restorations:
Burbank Dental Lab utilizes high-performance composite materials engineered for strength, wear resistance, and esthetic accuracy.



Indications for Use
Modern composite restorations offer versatile solutions, from simple cavity repairs to cosmetic enhancements, providing dentists with a conservative yet highly effective treatment option.
Composite restorations are an ideal choice for a variety of clinical applications, including:
COMPOSITION
Composite
IN-LAB WORKING TIME
5-Days
WARRANTY
N/A
conditional warranty
FLEXURAL STRENGTH
Feldspathic Porcelain
80-200 MPa
Clinical Handling
Precision-crafted indirect composites deliver enhanced longevity and esthetics for complex restorations.
Indirect Composite Restorations:
Preparation Guidelines
Proper preparation techniques are the foundation for successful, long-lasting composite restorations.
Proper tooth preparation is critical to ensuring the longevity and success of composite restorations. The following guidelines can help optimize bond strength and esthetic outcomes:
Precise tooth preparation is essential to achieving strong adhesion and optimal esthetic outcomes for composite restorations. The following guidelines provide best practices for achieving long-term success:
Anterior Composite Restorations:
Posterior Composite Restorations
Inlays, Onlays, and Indirect Composite Restorations:
Cementation Guidelines
Precise adhesive protocols transform indirect composites into seamlessly integrated, durable restorations.
Although composite restorations are typically bonded rather than cemented, indirect composite restorations such as inlays, onlays, and CAD/CAM composite crowns require proper adhesive protocols. Key steps include:
Chairside Adjustments
Refined finishing techniques ensure optimal occlusion and patient comfort while preserving the restoration’s longevity.
Composite restorations may require minimal chairside adjustments to optimize occlusion and patient comfort. Consider the following best practices:
Composite restorations have revolutionized restorative dentistry, offering a versatile, esthetic, and minimally invasive solution for a wide range of clinical indications. Burbank Dental Lab provides high-quality composite restorations designed for superior function, durability, and lifelike appearance. Partner with us for expertly crafted restorations that enhance patient satisfaction and streamline clinical workflows.
FAQ
What is the expected longevity of composite restorations?
With proper case selection and placement technique, composite restorations can last 5 to 10 years and, in some cases, longer. Their longevity depends on factors such as occlusal forces, patient compliance with oral hygiene, and material selection. Regular recall visits allow for early intervention if wear or marginal breakdown occurs.
Are composite restorations reliable for posterior teeth?
Yes, advancements in composite materials have made them a viable option for posterior restorations. High-performance composites exhibit increased wear resistance and strength, making them suitable for molar restorations. However, case selection is critical, and in patients with heavy occlusal forces or parafunctional habits, indirect composite or ceramic alternatives may be preferable.
Do composite restorations stain over time?
While modern composite materials are engineered for stain resistance, they may still be susceptible to discoloration from coffee, tea, red wine, and tobacco. Regular polishing and proper finishing techniques can help maintain long-term esthetics. Selecting microfill or nanohybrid composites with high polishability can also minimize surface staining.
Can composite restorations be repaired or modified?
One key advantage of composite restorations is their ability to be repaired. If a small chip or marginal defect occurs, additional composite can be bonded to the existing restoration without complete replacement. This allows for cost-effective maintenance and extended longevity of the restoration.




